Ακουστικά Νευρινώματα
Τι είναι τα Ακουστικά Νευρινώματα.
To ακουστικό νευρίνωμα αποτελεί καλοήθη όγκο που προέρχεται από νευρικά κύτταρα της όγδοης κρανιακής συζυγίας που σχετίζεται με την ακοή και τη διατήρηση της ισορροπίας.
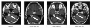
Αποτελεί όγκο που εξελίσσεται βραδέως προκαλώντας συμπτώματα όταν αυξηθεί αρκετά σε μέγεθος όπως οι εμβοές, η απώλεια ακοής, και οι διαταραχές στην ισορροπία.
Τα ακουστικά νευρινωματα, αν και καλοήθεις και βραδέως αναπτυσσόμενοι όγκοι λόγω της δύσκολης χειρουργικής προσπέλασης τους εξαιτίας της περιοχής που βρίσκονται- αλλά και την άμεση σχέση τους με το προσωπικό νεύρο, το ακουστικό νεύρο και το εγκεφαλικό στέλεχος αποτελούν μία από τις δυσκολότερες νευροχειρουργικές επεμβάσεις.

